〒065-0043  北海道札幌市東区苗穂町10丁目3-15
JR千歳線「苗穂駅」から徒歩22分
北海道中央バス「東栄中学校」から徒歩2分
アリオ札幌から車で5分(駐車場8台完備)

電話での問合せ・無料相談予約(受付時間 10:00~20:00)

0120-694-167
診療時間
平日・土曜・祝日 9:30~13:00 / 14:30~18:00
日曜 9:30~13:00 / 14:00~17:30
矯正日
医院の診療日に準ずる
  • 札幌市東区の矯正歯科医院・レオンデンタルオフィスでは、透明で目立たないマウスピース矯正インビザラインをご提供。中度重度の患者さまの歯並びを歯列矯正で整えます
中度・重度専門

札幌 矯正歯科 相談室

レオンデンタルオフィス 札幌本院

札幌市東区のレオンデンタルオフィスは、中度重度の歯並びを専門に治療する矯正歯科医院

年連続プロバイダー認定、国内に名しかいない「インビザライン・トッププロバイダーズ」のDr.瀬川が、透明で目立たないマウスピース矯正で、きれいな歯並びと輝く笑顔をお届けします。

土曜日曜祝日も診療
▲:14:30~17:30
診療時間
9:30~13:00
14:30~18:00
「東栄中学校」バス停から徒歩2分
駐車場8台完備
アリオ札幌から車で5分

〒065-0043  北海道札幌市東区苗穂町10丁目3-15

中度・重度専門の
マウスピース矯正

マウスピース矯正による中度重度の治療方針を以下で説明しております。矯正歯科選びで迷われている方は、ぜひご一読ください。

札幌市東区 矯正歯科 相談室では、世界で最も利用者数の多い米国アライン・テクノロジー社の「インビザライン」を利用してマウスピース矯正治療を行っています。

マウスピース矯正は透明なマウスピース型の矯正装置を使って治療します。

この写真のように金属を使うワイヤー矯正に比べると、マウスピース矯正は目立たないので、他人の目が気になりません。

マウスピースは表面がツルツルですし、歯の移動距離も少ないため、ワイヤー矯正に比べるとほとんど痛みを感じません。

結婚式や大切な面接といった「ここぞ」という場合は、自分で簡単に装置を外すことができます。

Eラインが美しく

当院の歯列矯正は奥歯も矯正するので、Eラインが整い横顔が美しくなります。

すっきりフェイスライン

また奥歯の噛み合わせを矯正するとフェイスラインがすっきりします。

たるみしわの改善

さらに奥歯の噛み合わせを矯正すると、たるみやしわも改善します。

頭痛腰痛の改善

奥歯の噛み合わせを矯正すると、頭痛や腰痛、いびきも改善します。

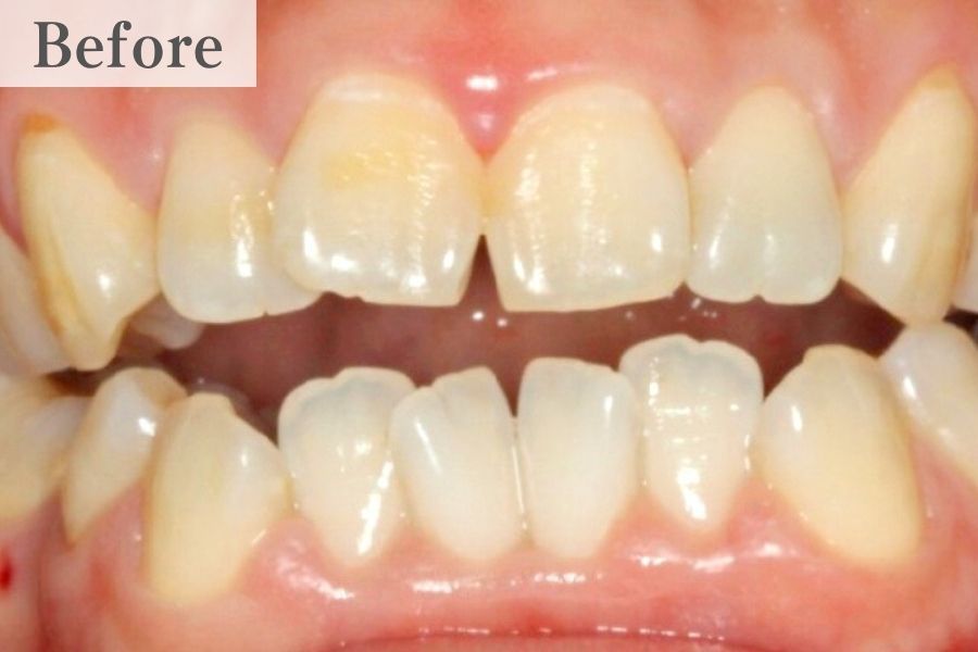
期間:36か月 症状:出っ歯

治療内容:マウスピース矯正インビザラインフル/コンプリヘンシブにて非抜歯矯正
治療費:880,000円(税込)※治療当時の費用です。
リスク・副作用:マウスピースの装着時間を守らないと治療結果や治療期間に影響が出ます

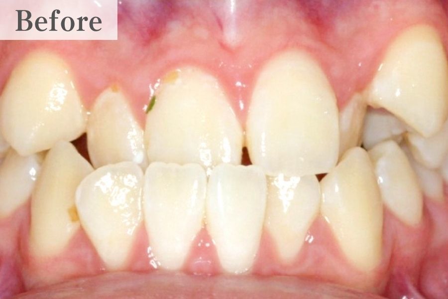
期間:33か月 症状:開咬

治療内容:マウスピース矯正インビザラインフル/コンプリヘンシブにて非抜歯矯正
治療費:880,000円(税込)※治療当時の費用です。
リスク・副作用:マウスピースの装着時間を守らないと治療結果や治療期間に影響が出ます

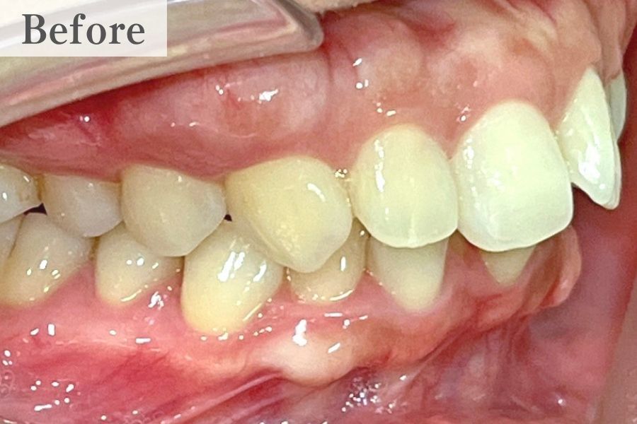
期間:38か月 症状:受け口

治療内容:マウスピース矯正インビザラインフル/コンプリヘンシブにて非抜歯矯正
治療費:880,000円(税込)※治療当時の費用です。
リスク・副作用:マウスピースの装着時間を守らないと治療結果や治療期間に影響が出ます

当院の矯正歯科が
選ばれる
理由

invisalign社から授与されたトロフィーの数々
2025年に最高ランクレッドダイヤモンド認定

札幌市東区 矯正歯科 相談室の矯正治療は、「インビザライン・トッププロバイダーズ」に選ばれ、最高ランク「レッドダイヤモンド」に認定された、Dr.瀬川が率いる矯正歯科専門チームが担当いたします。

トッププロバイダーズ」とは、国内の上位10人以内(現在は4名)、世界ではたった1%の歯科医師にしか与えられない、非常に高い専門性と豊富な経験を持つ証明ともいえる称号です。

そのDr.瀬川が、すべての患者さまの治療計画を0.1mm単位で細かく立案。その計画に則り、矯正歯科専門チームの歯科医師が責任を持って治療を進めていきます。もちろん、治療中の状況は随時 Dr.瀬川が確認・監修します。

矯正歯科専門チームが手がける症例数は、年間1,000件にのぼり、数々の中度・重度の矯正治療を成功させてきました。

世界水準の矯正治療を、一人でも多くの患者さまに届けたいー。こうした想いから、チーム一丸となって日々の無料相談から丁寧に取り組んでいます。

他院で断られた中度重度もお任せください

ローコストマウスピースと呼ばれる格安矯正は、軽度の症状にしか対応できません。

一方、当院が採用しているマウスピース矯正インビザラインなら、中度重度の患者さまにも対応可能。

他院で「治療できない」と断られた患者さまもお気軽にご相談ください。
 

「もう年齢的に遅いのでは」「ブリッジインプラントがあるから無理かも」──40代・50代の方からよくいただく不安です。

実際、この年代の矯正治療は難度が上がるため、他院で断られるケースも少なくありません。

その点当院で治療を担当するのは、国内にたった4名しかいない「インビザライン・トッププロバイダーズ」に選ばれ、最高ランク「レッドダイヤモンド」認定のDr.瀬川が率いる矯正歯科専門チーム。

チームが手がける矯正治療は、年間1,000症例にのぼり、数多くの40代・50代の矯正治療を成功に導いてきました。

矯正治療に「遅い」はありません。まずは、無料相談にお越しいただければと思います。

矯正後の歯並びはどうなるんだろう…。本当に理想の口元が手に入るの?そんな不安を抱える方もいらっしゃるかと思います。

当院では、最新の口腔内スキャナーを使用した歯並びのシミュレーションを無料でご提供しています。

これにより治療中の歯の動きや、矯正後の歯並びをイメージすることが可能です。
 

私たちの役割は、矯正歯科を通じて患者さまの歯並びを整え、笑顔を取り戻していただくこと。

そのために最も大切なのが、患者さまのお話をしっかりと伺うことなのです。

無料の矯正相談や治療時に、どんな些細な事でも構いません。お悩みやご希望、ご質問、等、色々とお話しください。

お話を伺うことを楽しみにしております。

こうしたご要望にも
対応可能です

虫歯歯周病
矯正治療

虫歯や歯周病がある方は矯正前に当院できちんと治療いたします。

もちろん矯正治療中の虫歯・歯周病の予防も万全です。

差し歯インプラント
ブリッジと矯正治療

差し歯やブリッジ、インプラントがあると、矯正治療難しくなります。

当院ではお口の状態に合わせて最適な矯正治療を提供いたします。

抜かず
矯正治療

ご希望の患者さまには、非抜歯でも美しい歯並びを追求した矯正治療をご提案いたします。

当院では、月々わずか支払いだけですむデンタルローンによる分割払いをご用意しました。

分割払いなら、多額費用を最初に用意することなく、すぐに治療を開始することが可能です。

  • 一部の費用しか記載されていないため、総額いくらか分からない
  • 軽度の費用しか記載されておらず、中度重度の費用が分からない

こうした事のないよう、当院では矯正治療にかかるすべての費用を、状態別に分かりやすく記載しております。

札幌市東区の矯正歯科医院をお探しで、できるだけ安い費用で治療を始めたい方は、お気軽にお問合せください。

軽度:インビザライン・ライト
治療費 33万円(上下) 月々3,600
中度:インビザライン・ミドル
   (インビザライン・モデレート)
治療費 66万円(上下) 月々7,200
重度:インビザライン・フル
   (インビザライン・コンプリヘンシブ)
治療費 88万円(上下) 月々9,600

※5年保証税込

費用は矯正歯科を選ぶ際の大きな判断材料です。他院では別料金なことが多い以下の費用を、すべて無料といたしました。

  • 相談料
  • 精密検査
  • 診断料
  • 治療終了後のリテーナー

医療費控除が使えます

マウスピース矯正は医療費控除を利用できます。

年収360万円の方が33万円の治療を受けた場合、6.9万円が還付されることになります。つまり、実質の治療費は約26万円です(概算)。
 

インビザライン・フルコンプリヘンシブ)をご利用の患者さまが希望された場合、追加費用で永久保証をお付けすることが可能です。

追加費用 22万円 月々
2,500円

(税込)

治療後に歯並びが乱れてきた場合、何年経っても期限なく無料で再治療を受けられます。

しかも全国のレオングループ歯科医院での対応が可能です。引っ越しや転勤で当院に通えなくなっても、保証は全国で有効。どこに住んでいても、安心して治療を継続できる仕組みなのです。

治療を契約する際に、オプションを付けるかをご判断ください。

  • 私の歯並びはキレイになる?
  • 総額の費用や治療期間は?
  • 治療のために抜歯は必要?

相談会ではシミュレーション動画で
未来の歯並びを確認できます

無料の矯正相談を実施中。ご相談にのるのは、国内最高峰「インビザライン・トッププロバイダーズ」に選出、最高ランク「レッドダイヤモンドプロバイダー」認定のDr.瀬川が率いる矯正専門の歯科医師たちです。札幌市東区で矯正歯科をお探しの方は、ぜひお気軽にご相談ください。

マウスピース矯正治療の流れ

無料相談
(カウンセリング)

精密検査

治療計画
(クリンチェック)

ご契約

治療開始

治療の経過観察

治療終了

保定期間に移行

「本当に私でも治せますか?」
その問いに、真っ直ぐ応えたい

実は、あなたと同じように悩んでいた方たちと、私はこれまでに何千人も出会ってきました。

マウスピースだけで治るのか不安」
重度の歯並びだから、無理って言われそう」
「年齢的にもう遅いかもしれない」

そんな思いを胸に秘め、初めての一歩を踏み出す方がほとんどです。

だからこそ、私がこの矯正治療にかける想いも、ただ歯並びを整えるだけでは終わりません。

私はこれまで、4,000人を超える方々の矯正治療に携わってきました。
現在は、最高ランクの「レッドダイヤモンドプロバイダー」に認定され、国内の上位10人以内(現在は4名)、世界では1%の歯科医師にしか与えられない「インビザライン・トッププロバイダーズ」にも選出されています。
でも、私が本当に誇りに思っているのは、そういった肩書きではありません。

矯正治療を通して、その人の人生そのものが変わっていく瞬間に立ち会えること——
これこそが、私にとってのやりがいです。

たとえば、ずっと口元を隠していた女性が、治療の終わりに満面の笑顔で「もうマスクは要りませんね」と話してくれたこと。
あるいは、診療のたびに少しずつ表情が明るくなっていく患者さんが、「最近、写真を撮るのが楽しくなったんです」とぽつりと教えてくれたこともありました。

見た目の変化だけでなく、心の変化まで感じられるとき——
それは、治療以上価値が生まれた証だと思っています。

あなたの不安や迷いには、きっと理由がありますよね。
ネットの情報で惑わされたり、過去の経験で自信をなくしたり…。
でも、もしあなたが「変わりたい」と思っているなら、当院はその気持ちに全力で応えたいと思っています。

治療に年齢の制限はありません。
ブリッジや被せ物があっても、状態に合わせた治療方法を一緒に考えていけます。
あなたの背景やコンプレックスに寄り添いながら、見た目も、心も、前向きに変えていけるように。

どうか、自分のことを後回しにしないでください。
そして、「本当に私でも治せますか?」という疑問を、私たちにぶつけてみてください。

あなたの人生が、“自信に満ちた笑顔”であふれる未来になるように。
そのための治療を、当院は本気でお手伝いしたいと考えています。

 
資格・経歴
  • 歯科医師
  • インビザライン・レッドダイヤモンドプロバイダー
  • インビザライン公式認定 トッププロバイダーズ
  • 2014年 北海道大学歯学部歯学科 卒業
  • 2017年 北海道最年少でゴールド・プロバイダー達成
  • 2018年 日本最速最年少でのプラチナ・プロバイダー達成
  • 2019年 プラチナエリート・プロバイダー達成
  • 2020~2021年 ダイヤモンド・プロバイダー達成
  • 2022~2025年 4年連続ブラック・ダイヤモンド・プロバイダー達成
  • 2025年 レッド・ダイヤモンド・プロバイダー達成/6年連続ダイヤモンドプロバイダー受賞

矯正歯科
よくあるご質問

ブリッジや差し歯があっても矯正できますか?


はい、可能です。

当院の矯正歯科ではブリッジや差し歯、インプラントなどがある場合でも、長年にわたって培った4,000症例以上の実績をもとに、個別に診断して治療プランを立てています。

必要に応じて、ワイヤーとの併用も視野に入れた柔軟な対応が可能です。

 

横顔やフェイスラインも変わるって本当ですか?


はい、実感される方が多くいらっしゃいます。  

前歯だけでなく、奥歯まで動かす全体矯正によって、口元の突出感がやわらぎ、Eラインが整うケースがあります。  

見た目の変化だけでなく、噛み合わせや筋肉のバランスまで改善されることで、「雰囲気が変わった」と言われる方も多いです。

矯正って高いイメージがあるのですが、大丈夫でしょうか?


札幌市東区 矯正歯科 相談室では分割払いも可能なので、無理なく続けられます。  

他院では別料金なことが多い相談料・精密検査・診断料・リテーナー代は治療費に含まれていますので無料です。

月々3,600円から分割払いにも対応していますので、費用面が不安な方でも安心してご相談いただけます。

痛みや日常生活への影響はありますか?


初期に違和感を覚える方はいますが、多くは数日で慣れます。  

インビザラインは0.25mm単位で少しずつ歯を動かしていくため、痛みは比較的少ないとされています。  

また、取り外しも可能なため、食事や会話、接客の仕事にもほとんど支障はありません。

矯正歯科の
診療案内

マウスピース矯正「インビザライン」は、透明なマウスピース型の矯正装置を使って歯並びをキレイにする歯列矯正。

患者さま一人ひとりの歯並びにあわせた取り外しできるマウスピースを設計・作製し、それを治療の段階に応じてつけ替えることで、歯並びを改善します。

マウスピースが透明で目立たないこと、一度に移動させる歯の距離が短いため矯正中の痛みが少ない点がメリットです。

非抜歯矯正

「歯並びを治したいけれど、健康な歯を抜くのは抵抗がある...」そんな方におすすめなのが、非抜歯矯正です。

歯を抜かずに歯並びを整えられるため、健康な歯を守りつつ理想的な口元を目指せます。

※お口の状態によっては非抜歯矯正に対応できないケースもありますので、ご了承ください。当院では、治療法のメリット・デメリットをしっかりとお伝えし、患者さまのご希望に適した治療プランをご提案いたします。

  • 私の歯並びはキレイになる?
  • 総額の費用や治療期間は?
  • 治療のために抜歯は必要?

相談会ではシミュレーション動画で
未来の歯並びを確認できます

無料の矯正相談を実施中。ご相談にのるのは、国内最高峰「インビザライン・トッププロバイダーズ」に選出、最高ランク「レッドダイヤモンドプロバイダー」認定の矯正歯科医、Dr.瀬川が率いる矯正専門の歯科医師たちです。ぜひお気軽にご相談ください。

矯正治療で
後悔しないために

前歯しか動かせない格安矯正は、軽度が専門の治療法。

そのため格安矯正で中度・重度の症状を無理矢理に治療すると、治療に失敗して歯並びが口ゴボ状態になってしまうことも・・。

その点、前歯だけでなく奥歯も動かせる当院のマウスピース矯正インビザラインなら、中度や重度の症状でも、きれいに矯正することが可能です。
 

経験不足の歯科医師の場合、中度・重度の症状に必要な細かい調整を行えず、メーカーのAIシステムに治療計画を丸投げしがち。

そのためAIシステムが間違った場合、それを正すことができず、矯正治療に失敗して口ゴボになってしまった、という話をよく耳にします。

でも札幌市東区 矯正歯科 相談室で治療を担当するのは、国内にたった4名しかいない「インビザライン・トッププロバイダーズ」に選ばれ、最高ランク「レッドダイヤモンド」認定のDr.瀬川が率いる矯正歯科専門チーム。

チームが手がける矯正治療は、年間1,000症例にのぼります。

中度・重度の治療経験も豊富で、細かい調整をAI任せにすることはありません。

矯正治療に失敗して患者さまが後悔するということはありませんので、どうぞご安心ください。

 


当院では、中度・重度の以下の歯並びを、マウスピース矯正できれいに整えます。

土曜日曜祝日も診療
「東栄中学校」バス停から徒歩2分
アリオ札幌から車で5分

駐車場8台完備

診療時間
9:30~13:00
14:30~18:00

▲:14:00~17:30

JR千歳線「苗穂駅」から徒歩22分
北海道中央バス「東栄中学校」から徒歩2分
アリオ札幌から車で5分(駐車場8台完備)

アクセス
〒065-0043 
北海道札幌市東区苗穂町10丁目3-15
  • 私の歯並びはキレイになる?
  • 総額の費用や治療期間は?
  • 治療のために抜歯は必要?

相談会ではシミュレーション動画で
未来の歯並びを確認できます

無料の矯正相談を実施中。ご相談にのるのは、国内最高峰「インビザライン・トッププロバイダーズ」に選出、最高ランク「レッドダイヤモンドプロバイダー」認定のDr.瀬川が率いる矯正専門の歯科医師たちです。ぜひお気軽にご相談ください。